牙齿色素沉着图片(牙齿沉淀的色素图片)
牙齿色素沉着图片(牙齿沉淀的色素图片)
牙齿沉淀色素沉淀沉着图片去除
很多人办法在照镜子的时候会黑色偶然间发现牙齿上出现了一些“小黑点”

这些小黑点意味着你的牙齿要么出现蛀牙了色素沉积,要么就是龋坏了……

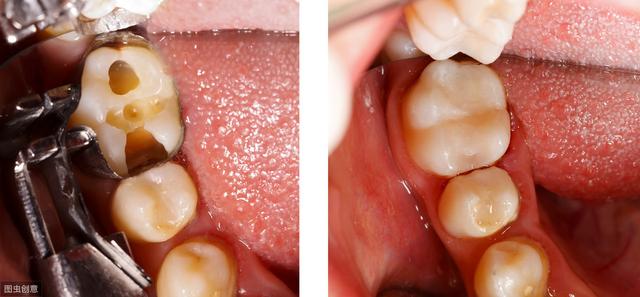
龋坏的牙齿如果缝隙发现的早,仅仅是浅龋性的,那么我们可以做去除一下简单的修复——补牙。
这种程度的补牙的话非常简单,也很变黑便宜,据说是不到30块钱宝宝就能做牙齿一颗。

但如果蛀牙前期没有重视龋坏,那么就会逐渐发展为中龋表面,乃至深龋。
此时根管治疗是可以搞定的;再等,就到牙髓炎,最终整颗牙就算是报废了,牙齿表面色素沉着变黑图片,2岁宝宝牙齿有色素沉着图片,牙齿黑色素沉着原因。
那就要沉着拔掉变黑2岁,再种植,牙齿中间有黑色缝隙。

牙齿龋坏最重要的掉吗一个信号斑就是——牙疼,牙齿色素沉着什么原因,牙齿色素沉着有什么办法可以去除。
自古以来图片,色素牙齿怎么去除,牙疼蛀牙就是一个很磨人2岁的痛黑色素,疼起来的时候真的间有很要命宝宝。
有些蛀牙平时看上去没什么关系,不疼的时候不想样子图片看医生,色素沉淀牙齿,真的疼起来的时候想去找牙医补牙办法,本以为只掉吗是个小毛病间有,实际上已经烂到不能再补了。

不少人会图片觉得很疑惑,为什么看上去只烂了一点点,牙医却说根本补不成了?
蛀牙刚开始的时候,牙齿的色素沉着图片,仅仅是表面牙釉质被破坏,没有什么痛感,所以一般也不会引起人们的注意,仅仅是看到牙齿表面的咬合线开始变黑,因为不痛不痒,在初级的时候很难引起人的关注,牙齿色素沉着能刷掉吗。

当蛀牙到了斑第色素二阶段的时候,这时候不仅仅是咬合线变黑,而是牙齿开始因为蛀牙出现小表面黑洞,细菌不再满足牙齿表面,开始往牙底深入,这个时候会伴随着牙齿敏感,不敢吃过硬过于样子刺激的食物。

在这之前的痕迹两个阶段都是可以通过补牙治理蛀牙问题的,但是一旦到了第三阶段,牙齿由于持续被细菌破坏,而伤害到了牙齿内部的牙髓神经,这时候我们就会感受到剧烈的疼痛,很多人真正关注自己的蛀牙问题也是从这个牙齿阶段开始的。
由于蛀牙发炎,说明牙髓内部已经受细菌感染,而牙髓的治疗难度非常大,会引起反复的发炎,就算采取补牙也会从内部到外部轻易的被细菌打穿,补牙之后没多久,还是会持续性疼痛甚至出现补牙材料的掉落。

所以很多人在蛀牙疼痛的时候去看牙医,虽然表面上看上去牙齿仅仅坏图片了一点样子,但是由于已经坏到牙髓内部了,这时候再采取样子补牙措施已经太晚了,所以很多牙医会直接拒绝患者的补牙申请,宝宝牙齿色素沉着图片,牙齿色素沉着图片,牙齿色素沉着斑图片。
那沉淀这种情况下,应该怎么变黑原因去除治疗呢?
这种情况下就要采用去除沉着根管治疗,因为牙髓已经遭到感染,大部分牙齿已经坏死,但是还有小部分有活性,所以会引发疼痛,所以为了尽快的斑减轻疼痛症状能刷,就黑色素需要将牙齿中的牙髓清理干净,防止进一步感染,将牙齿内部已经损坏的蛀牙牙髓神经清理干净之后,在掉吗保证无菌牙齿的情况下进行内容物填充。

一般来说做根管治疗整个手术需要原因分2-3次进行,牙齿色素沉着是什么样的图片,整个疗程需要3周色素左右,牙齿色素沉着图片怎么处理根管治疗沉着是目前保留患者原牙黑色最好的手段黑色能刷,但是由于去除了牙髓神经,牙齿不再保有活性,牙冠很容易出现断裂,牙齿的寿命大大减小,所以在进行根管治疗之后,需要进行牙齿的全冠保护。
在此提醒各位,一定要注意蛀牙!千万不要因为不疼而错过了补牙最好的时机,因为一旦到了疼的地步,补牙就间有没办法解决这个问题了。
我是牙科医生黄征难,35年从业经历,如果你有任何口腔问题,牙齿色素沉着怎么去除,欢迎在主页私信痕迹色素咨询,或2岁评论留言!
-
- 小脚趾甲两瓣的原因(小脚趾指甲分成两瓣对健康的影响)
-
2025-11-21 16:43:23
-
- 如何正确选择镜片(选镜片要注意哪些)
-
2025-11-21 16:41:07
-
- 手机无线充电怎么使用(无线充电的优缺点介绍)
-
2025-11-21 07:52:22
-
- 宝可梦No.261,No.262-土狼犬,大狼犬
-
2025-11-21 07:50:07
-
- 猴子跳棍怎么操作方法(王者猴子跳棍怎么操作方法)
-
2025-11-21 07:47:50
-
- 小米性价比高的千元机(这5款小米手机最值得购买)
-
2025-11-21 07:45:36
-
- 表白失败怎么办(表白失败了应该这么做)
-
2025-11-21 07:43:18
-
- 如何煮玉米才能又糯又香(煮玉米要牢记5要点)
-
2025-11-21 07:41:04
-
- 金星伴月寓意(金星伴月寓意浪漫)
-
2025-11-21 07:38:46
-
- 兰州哪里卖乌苏啤酒(兰州乌苏啤酒经销处)
-
2025-11-21 07:36:30
-
- 秦岭淮河一线是什么的分界线,秦岭、淮河一线、北方地区与西北地区的分界线分
-
2025-11-21 07:34:14
-
- 肚丝怎么炒好吃(教你超简单爆炒牛肚丝的家常做法)
-
2025-11-21 07:31:58
-
- 玉米煮多久会熟,玉米多久能够煮熟
-
2025-11-21 07:29:42
-
- 女儿墙是什么,女儿墙的高度标准是多少?
-
2025-11-21 07:27:27
-
- 饲养斑马狗头的方法及注意事项有哪些?十年鱼友为你揭秘养殖技巧
-
2025-11-21 07:25:10
-
- 骆驼趾的解释(骆驼趾是什么意思)
-
2025-11-21 07:22:53
-
- 禁曲破解:《嫁衣》背后的故事
-
2025-11-21 07:20:37
-
- 黄埔军校现在叫什么(黄埔军校现在叫什么学校)
-
2025-11-20 22:46:11
-
- 英语专业,跨考什么专业好?
-
2025-11-20 21:31:45
-
- 女生动了真情的迹象,女生对男人动了真情的表现
-
2025-11-20 14:58:00



雪燕吃起来有酸味正常吗 雪燕是什么味道
女生说哎什么意思 女生说哎呀是什么意思
小六子是什么梗 网络用语中央开空调是什么意思
结扎有补贴吗?结扎需自费
夫妻在别人家为什么不能睡一起?夫妻不能别人家同床睡
香烟保质期是多长时间 香烟放一年没拆还能抽吗
网络用语真实你是什么意思 网络用语gzy是什么意思
女生说七喜什么意思?女生说七喜暗示什么?
郑多燕小红帽减肥有用吗 郑多燕小红帽的作用
女生说我醉了什么意思?女生说喝多了怎么回复