长出智齿的原因是什么?智齿会造成哪些问题?
长出智齿的原因是什么?智齿会造成哪些问题?
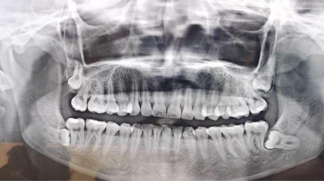
摘要:智齿,也称为第三磨牙,是人类的额外一对臼齿,通常在16岁至25岁之间开始出现。它们是人类进化的痕迹,起源于远古时期我们祖先的食物选择的变化。
智齿,也称为第三磨牙,是人类的额外一对臼齿,通常在16岁至25岁之间开始出现。它们是人类进化的痕迹,起源于远古时期我们祖先的食物选择的变化。然而,由于智齿的生长常伴随着问题和不适,许多人需要通过拔牙来解决这些问题。智齿的问题主要源于其冠部的生长问题。由于人类的口腔逐渐缩小,智齿往往没有足够的空间来正常生长和发育。

因此,智齿可能有以下几种情况:
1、闭合不全
智齿可能只部分穿透牙龈,这使得智齿难以清洁,易感染,导致疼痛和肿胀。
2、错位
智齿可能不在正确的位置上,可能向前倾斜、向后倾斜或垂直倒置。这些错位可能对邻近的牙齿造成压力和移位,导致不适和疼痛。

3、纵向堆积
智齿可能仅部分冒出牙龈表面,造成牙龈肿胀和不适。为了解决这些问题,许多人选择拔除智齿。根据情况的严重程度,医生会决定是否需要拔除智齿。完美的茶具礼仪语录拔除智齿通常是在局部麻醉下进行,医生会在口腔内提供适当的舒适度。
拔智齿的过程相对简单,但术后需遵循医生的建议和指导,以减少不适和感染的可能性。这包括避免咀嚼坚硬的食物,保持口腔清洁和按时服用医师开具的药物。

有些人可能不需要拔除智齿,因为他们的智齿可以正常生长,且没有引起任何问题。然而,对于那些经常出现智齿问题或牙齿拥挤的人来说,拔除智齿是解决问题的常见方法。
-
- 老婆说离婚不离家,还能挽回吗
-
2025-11-15 01:03:04
-
- 夏天豆浆能放多长时间
-
2025-11-15 01:00:49
-
- 男朋友多次出轨,要不要在一起,怎么办?
-
2025-11-15 00:58:34
-
- 男闺蜜为什么不能成为男朋友(友谊面前的抉择)
-
2025-11-15 00:56:19
-
- 第一次约会手足无措?这些注意事项你需要清楚
-
2025-11-15 00:54:04
-
- 苹果如何投屏到电视机(苹果如何投屏到电视机上)
-
2025-11-14 20:40:45
-
- 哈尔滨属于哪个省(中国行政区划黑龙江省哈尔滨)
-
2025-11-14 20:38:31
-
- 壹米滴答物流单号查询(一键查快递单号,壹米滴答物流单号查询,快递单号查询
-
2025-11-14 20:36:15
-
- 升降椅原理及其使用注意事项
-
2025-11-14 20:34:00
-
- 女人用这3种方式“拒绝”你,说明确实很嫌你!
-
2025-11-14 20:31:45
-
- 下雨天约会去什么地方比较好?
-
2025-11-14 20:29:30
-
- 手机钢筋符号输入法有哪些可选?
-
2025-11-14 20:27:14
-
- 人体佩戴什么可消除静电(壹健康小知识:静电擦护手霜有用吗?佩戴什么可以消
-
2025-11-14 20:24:59
-
- 结婚贺词
-
2025-11-14 20:22:44
-
- 这个让李易峰、杜峰都当场真香的姜钧馨这么有梗的吗
-
2025-11-14 20:20:28
-
- 何为边际效应?且其呈现递减规律?
-
2025-11-14 20:18:13
-
- 女朋友吵架怎么缓解情绪?有效方法分享
-
2025-11-14 20:15:58
-
- 夹布胶管规格型号和种类介绍
-
2025-11-14 20:13:44
-
- 达米恩李比库里兄弟准 库里却不喜欢看到 汤普森新年场均37分
-
2025-11-14 20:11:29
-
- 初吻几种技巧事项,你学会了吗?
-
2025-11-14 20:09:14



雪燕吃起来有酸味正常吗 雪燕是什么味道
女生说哎什么意思 女生说哎呀是什么意思
小六子是什么梗 网络用语中央开空调是什么意思
结扎有补贴吗?结扎需自费
夫妻在别人家为什么不能睡一起?夫妻不能别人家同床睡
香烟保质期是多长时间 香烟放一年没拆还能抽吗
网络用语真实你是什么意思 网络用语gzy是什么意思
女生说七喜什么意思?女生说七喜暗示什么?
郑多燕小红帽减肥有用吗 郑多燕小红帽的作用
女生说我醉了什么意思?女生说喝多了怎么回复